MSLMRI10 Superconducting MRI System - Technical Specifications & Core Features
As a 4th-generation superconducting MRI system, MSLMRI10 integrates A-combi & AI technologies, humanized design, and cost-effective operation, making it a reliable hospital MRI equipment for clinical diagnosis and efficient workflow. Below are the detailed technical parameters and key features:
1. Magnet System
- Magnet Type: 4th-generation short bore superconducting magnet
- Core Technology: Liquid helium "zero" boil-off technology with 4K cold head (stable operation without liquid helium refilling)
- Magnetic Field Uniformity: High uniformity, supporting large FOV rapid imaging and high-quality fat suppression imaging
- Design Advantage: Compact structure, minimizing installation space requirements

2. RF Coil Configuration
- Coil Type: Phase Array (PA) Receiving Coil
- Standard Coils: Head & Neck Coil, Body Coil, Knee Coil, Shoulder Coil
- Optional Coils: Head Coil, Ankle Coil, Wrist Coil, Neck Coil, Spine Coil, Breast Coil, Flexible Coils (2 Sizes)
- Special Technology: A-combi coil integration technology (enables multi-body part scans without patient repositioning, supports whole-body/whole-spine imaging)
- Note: Specific coil configuration is subject to the product configuration list

3. Core Technologies & Features
3.1 AI-Powered Functions
- AI De-noising & Image Enhancement: Reduces scan time significantly (e.g., from 03:44 to 00:56) while maintaining image quality
- AI Intelligent Alignment & Stitching: Simplifies operation and ensures consistent imaging results
- Online Elastic Motion Correction (EMC): Reduces workload, delivers high-quality images for dynamic enhancement applications
- Whole-Body/Whole-Spine AI Imaging: Enables uninterrupted scanning without patient repositioning
3.2 Scan Performance
- Silent Scanning Technology: Low-noise pulse sequences (82dB, lower than conventional MRI) to enhance patient comfort
- Dual-Engine Parallel Acquisition Technique (PAT): Accelerates scan speed (e.g., scan time reduced from 8:09 to 4:48) while maintaining high image quality and spatial resolution
- Streamlined Magnetic Resonance Imaging Workflow: Boosts work efficiency via advanced hardware and software integration
3.3 Advanced Clinical Applications
- Auto-Triggered CE-MRA*: TR=4.8ms, TE=2.1ms, FA=30°, slice thickness options (1.2mm/1.5mm)
- Cardiac Cine*: Supports cardiac functional imaging
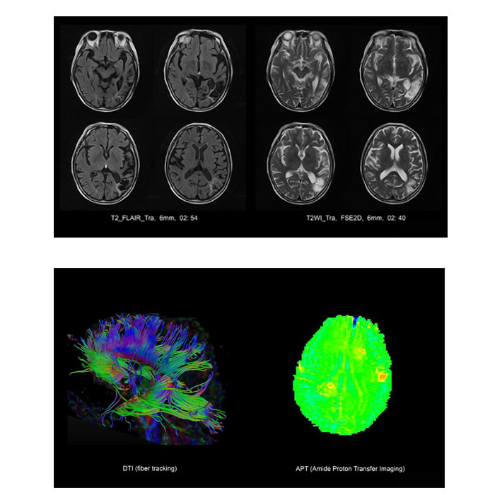
- APT* (Amide Proton Transfer Imaging): Advanced functional application (available on request)
- Clinical-Grade MRI Sequences: Covers conventional and advanced functional applications to meet diverse diagnostic needs

4. Imaging Sequences & Applications
4.1 Brain Imaging
T1WI, T2WI, FLAIR, HD-DWI, ADC, A-SWI, 3D-TOF MRA, 3D-TOF MRV, T1WI-C+ (T2WI slice thickness=2mm)
4.2 Breast Imaging
T2WI & STIR, DWI & ADC, Dynamic Enhancement & Subtraction
4.3 Abdominal Imaging
T1WI, T2WI, a-SPAIR, DWI, In Phase, Out Phase, DE Phase I/II/III, MRCP, MRU, True-FISP
4.4 Spine & MSK Imaging
T1WI, T2WI, STIR, PD-FS WE (slice thickness=1.5mm), ME-T2*WI, Tra-T2WI, Tra-Intervertebral Disk Imaging
Marked with "" indicates non-standard configuration; please contact us for details.

5. Installation & Power Requirements
5.1 Space Requirements
- Minimum Installation Area: 35 square meters
- Room Dimensions (Length×Width×Height):
- Magnet Room: 6500mm×5500mm×3300mm
- Equipment Room: 5500mm×3000mm×3300mm
- Operation Room: 4500mm×4000mm×3200mm
5.2 Power Supply
- Phase & Voltage: 3 Phase, 380V
- Voltage Stability Range: ±10%
- Frequency Range: 50/60Hz (±1Hz)
- Connection Power Value: 60KVA (average power at full-load normal operation)

6. Cost-Effectiveness Advantages
- Low Investment: Cost-effective superconducting MRI system with compact design
- Low Operating Costs: Zero liquid helium consumption, low power consumption, and minimal maintenance costs
- High Return on Investment: High-resolution thin-slice imaging improves diagnostic accuracy; fast scan speed enhances work efficiency
- Upgrade Support: Fully supported by patented core technologies for future upgrades

7. Service & Support
- Efficient Service MRI System: 24-hour service response
- Global Support Network: Over 100 professional service engineers
- Spare Parts: Rich spare parts backup and fast delivery
- Humanized Support: Comprehensive training and technical guidance